โปรดอัพเดตเบราว์เซอร์

เบราว์เซอร์ที่คุณใช้เป็นเวอร์ชันเก่าซึ่งไม่สามารถใช้บริการของเราได้ เราขอแนะนำให้อัพเดตเบราว์เซอร์เพื่อการใช้งานที่ดีที่สุด

ต่างประเทศ

ชายไต้หวันมีภาวะนิ้วตะบอง แพทย์พบก้อน-ฝ้าในปอด ชี้ควรรีบไปโรงพยาบาล

Khaosod

อัพเดต 26 ต.ค. 2567 เวลา 09.29 น. • เผยแพร่ 26 ต.ค. 2567 เวลา 09.29 น.

ชายไต้หวันมีภาวะนิ้วตะบอง แพทย์พบก้อน-ฝ้าในปอด ชี้ควรรีบไปโรงพยาบาล อาจเป็นสัญญาณของโรคเหล่านี้

เมื่ออวัยวะภายในของหลาย ๆ คนเริ่มมีปัญหา ลักษณะทางกายภาพและรูปร่างหน้าตาอาจเปลี่ยนไปอย่างเห็นได้ชัด ล่าสุด นพ. ซู อี้เฟิง (蘇一峰) แพทย์ด้านทรวงอกออกมาเผยแพร่กรณีทางการแพทย์ของผู้ป่วยชายวัย 40 ปีมีนิ้วทั้งสิบเริ่มขยายเป็นแนวยาวคล้ายตะบอง ซึ่งเรียกว่า ภาวะนิ้วปุ้ม (Clubbing finger) หรือนิ้วตะบอง

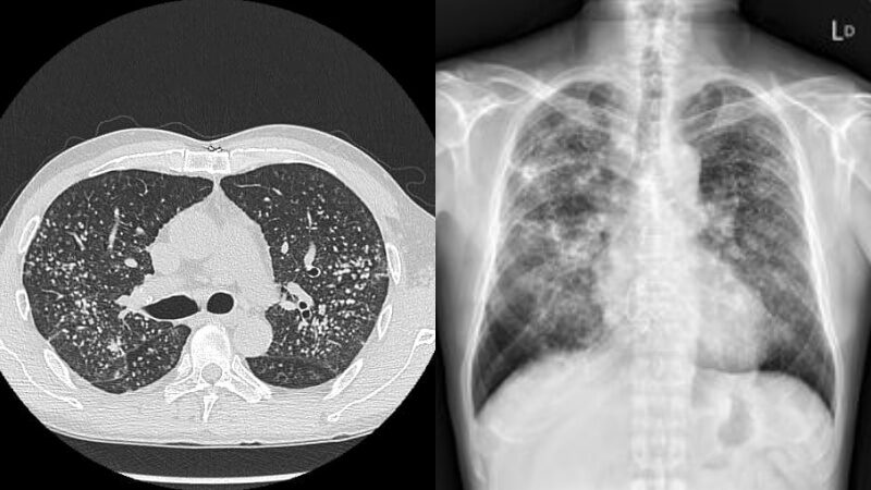
นพ. ซู อี้เฟิงเปิดเผยว่า ผู้ป่วยชายคนนี้ไม่สูบบุหรี่เลย แต่จู่ ๆ เขาหายใจไม่ออก ป่วยเป็นโรคหอบหืดมาหลายเดือนจึงตัดสินใจไปโรงพยาบาลแผนกทรวงอกเพื่อรับการรักษา แพทย์พบนิ้วของเขาเริ่มเป็นภาวะนิ้วตะบองอย่างเห็นได้ชัด จึงแนะนำให้ทำการตรวจด้วยรังสีเอกซ์

蘇一峰

ซึ่งแพทย์พบว่าก้อนเนื้อในปอดหลายพันก้อนทำให้ผู้ที่เป็นโรคทริปโปโฟเบียมึนงงที่หนังศีรษะ พร้อมทั้งเตือนด้วยว่า "ถ้าคุณเห็นนิ้วของคุณกลายเป็นกระบอง อย่าลืมไปพบแพทย์เพื่อตรวจสุขภาพ"

นิ้วตะบองเป็นความผิดปกติที่ส่วนปลายของนิ้ว ข้อนิ้ว หรือนิ้วเท้า โดยเกิดความเปลี่ยนแปลงทางสรีรวิทยาจากภาวะสุขภาพอื่น ๆ จนทำให้รากเล็บจะโค้งจากโคนจรดปลาย เล็บขยายใหญ่ ฐานเล็บอ่อนนุ่ม เล็บหนา และเล็บโค้งงออย่างผิดปกติ

蘇一峰

แม้ยังไม่ทราบสาเหตุที่แน่ชัดของภาวะนิ้วปุ้ม แต่อาจเกิดจากการตีบตันของเส้นเลือด ซึ่งอาจเป็นสัญญาณของโรคต่าง ๆ เช่น

  • ปอดเรื้อรังที่ไม่เป็นพิษ
  • โรคหัวใจพิการแต่กำเนิด
  • เยื่อบุหัวใจอักเสบ
  • วัณโรค
  • ฝีในปอด
  • การติดเชื้อในปอด
  • พังผืดในปอด
  • โรคหลอดลมโป่งพอง
  • โรคซิสติกไฟโบรซิส
  • โรคหลอดเลือดหัวใจ
  • โรคลำไส้อักเสบเรื้อรัง
  • มะเร็งปอด

อ่านข่าวต้นฉบับได้ที่ : ชายไต้หวันมีภาวะนิ้วตะบอง แพทย์พบก้อน-ฝ้าในปอด ชี้ควรรีบไปโรงพยาบาล

ติดตามข่าวล่าสุดได้ทุกวัน ที่นี่
- Website : https://www.khaosod.co.th

ดูข่าวต้นฉบับ
Loading...
Loading...
Loading...
Loading...
Loading...
Loading...
Loading...
Loading...
Loading...
Loading...
Loading...
Loading...
Loading...
Loading...
Loading...
Loading...
Loading...
Loading...
Loading...
Loading...
Loading...
Loading...
Loading...
Loading...
Loading...
Loading...
Loading...
Loading...
Loading...
Loading...
Loading...
Loading...
Loading...
Loading...
Loading...
Loading...
Loading...
Loading...