เด็ก 4 ขวบ มีไข้สูงหลายวัน เจอปอดบวม-ติดเชื้อ Hmpv หมอเตือนให้รีบไปรพ.
เด็กไต้หวัน 4 ขวบ มีไข้สูงหลายวัน เจอปอดบวม-ติดเชื้อ Hmpv ที่ไม่มีวัคซันรักษา หมอเตือนให้รีบไปรพ. ย้ำระบาดช่วงหน้าฝน
กรณีทางการแพทย์ที่กำลังกลายเป็นไวรัล พร้อมเป็นอุทาหรณ์ให้ผู้ปกครองหลาย ๆ คนควรเฝ้าระวังและสังเกตลูกน้อยของตนเองให้ดี หากมีอาการเป็นหมัด ไอ น้ำมูกเยอะ อาจไม่ได้เป็นไข้ทั่วไปเท่านั้น
นพ.หลิน จือเวย กุมารแพทย์แบ่งปันกรณีทางการแพทย์บนเพจเฟซบุ๊ก เล่าถึง เด็กอายุ 4 ขวบ มีไข้ 39 องศานานหลายวัน มีอาการไอ มีเสมหะ น้ำมูกไหล และเจ็บคอเล็กน้อย ต่อมาในวันที่สาม พ่อแม่ตรวจสอบลูกพบว่าไข้ค่อย ๆ ทุเลาลง แต่ไม่คาดคิดว่า อีก 2 วันต่อมาลูกจะมีไข้สูงขึ้น
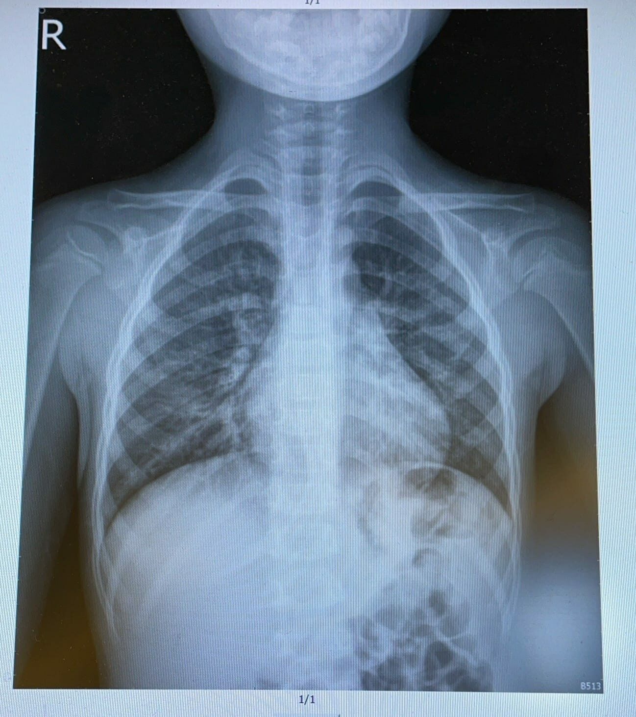
เมื่อวันที่ 5 ของอาการป่วย พ่อแม่จึงพาลูกไปตรวจสุขภาพที่โรงพยาบาล ตามรายงาน ผลการเอกซเรย์แสดงให้เห็นถึงปอดบวมและหลักฐานทางจุลชีววิทยา คือ ฮิวแมนเมตานิวโมไวรัส (Human Interstitial Pneumonia Virus : hMPV)
นพ.หลิน จือเวย ระบุว่า แม้ว่า ในปัจจุบันนี้ยังไม่มีวัคซีนป้องกันการติดเชื้อไวรัสเอชเอ็มพีวี ผู้ป่วยบางรายมีไข้สูงติดต่อกันหลายวัน บางรายไข้ไม่ทุเลาลงจนวันที่ 7 ก็มองข้ามลักษณะที่ก่อให้เกิดโรคปอดบวมไม่ได้
อีกทั้ง นพ.หลิน จือเวย เตือนว่าผู้ที่เป็นโรคหอบหืด (Asthma) โรคภูมิแพ้ระบบทางเดินหายใจ และโรคอื่น ๆ ควรให้ความสนใจมากขึ้น เนื่องจากคาดว่าจำนวนผู้ป่วยที่มีไข้และปอดบวมจะเพิ่มขึ้นอย่างมากในอนาคตอันใกล้นี้
ไวรัสเอชเอ็มพีวี เป็นไวรัสชนิดใหม่ที่ติดเชื้อในระบบทางเดินหายใจของมนุษย์ที่ค้นพบโดยนักวิชาการชาวดัตช์ในปี 2544 มักเกิดข้นใน ช่วงฤดูฝนและฤดูหนาว เด็กเล็กที่มีภาวะภูมิคุ้มกันบกพร่อง ผู้สูงอายุ และผู้ที่มีโรคประจำตัว เช่น โรคปอด โรคระบบภูมิคุ้มกันบกพร่อง โรคมะเร็ง เป็นต้น สามารถทำให้เกิดการติดเชื้อรุนแรงและอาจถึงขั้นหายใจล้มเหลวได้
อาการของโรค มีตั้งแต่คล้ายไข้หวัด อาการไอและคัดจมูกเป็นอาการทางคลินิกที่พบได้บ่อยที่สุด จนขั้นรุนแรงถึงหลอดลมอักเสบชนิดที่เรียกว่า Bronchiolitis ปอดอักเสบ การรักษาส่วนใหญ่เป็นการรักษาแบบประคับประคองตามอาการของผู้ป่วย เช่น ดูดเสมหะ พ่นยา เคาะปอด ให้สารน้ำทางหลอดเลือด และไม่มีการใช้ยาต้านไวรัสพิเศษหรืออิมมูโนโกลบูลิน
การป้องกันการติดเชื้อไวรัสเอชเอ็มพีวี จึงใช้หลักการเดียวกับการป้องกันโรคติดเชื้อทางเดินหายใจอื่น ๆ ได้แก่ ล้างมือให้สะอาด ไม่นำมือสัมผัสแคะจมูกหรือเข้าปาก ไม่คลุกคลีกับผู้ป่วย รวมถึงสวมใส่หน้ากากอนามัยเสมอ
ขอบคุณที่มาจาก Facebook